Search form
Search
EN
IT
MyPage
Staff Webmail
Student Webmail
Address book
Center for
Advanced Studies
and Technology
About us
CRC
Diagnostics
Facilities
Research Groups
Research Biobanks
Location
Home
Research Biobanks
Research Biobanks
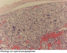
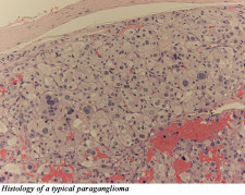
Paraganglioma Biobank
HUVEC biobank